Torsion gastrique chez le chien
La torsion gastrique (ou dilatation-torsion de l'estomac) chez le chien est un problème assez fréquent qui survient toujours de manière inattendue et peut être fatal en quelques heures. Un jour, l'animal est en pleine forme et joyeux, et le lendemain, c'est l'opération et le diagnostic qui s'annonce. Aujourd'hui, nous allons vous parler des causes, des symptômes, du diagnostic et du traitement (chirurgie pour corriger la torsion gastrique chez le chien).
Raisons
Souvent, cette affection se développe sur fond de flatulences apparemment banales. Cependant, l'accumulation de gaz entraîne un déplacement et une torsion de l'estomac, provoquant de nombreuses complications.
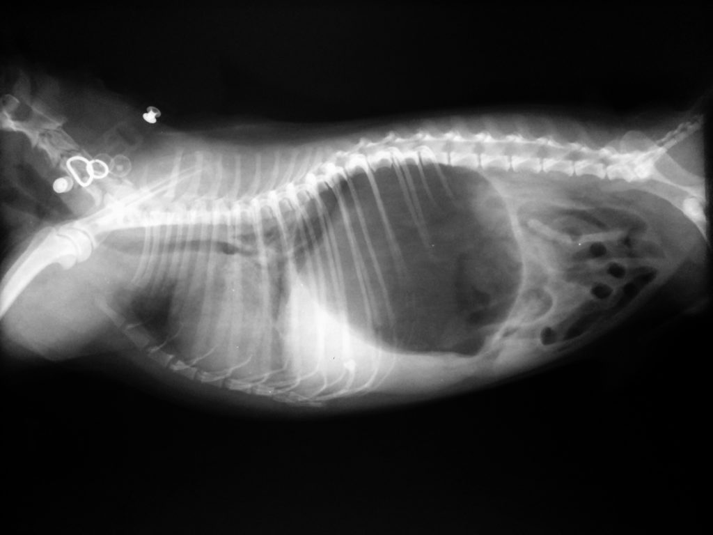
La maladie progresse rapidement, s'aggravant en 4 à 12 heures, et sans intervention médicale qualifiée, la mort est inévitable. La photo montre une radiographie d'un Pinscher nain mâle atteint de torsion gastrique.

Il est très difficile d'isoler une ou plusieurs causes exactes de torsion gastrique chez le chien, mais en systématisant les données, il est possible d'identifier les facteurs de risque qui contribuent au développement de la maladie.
- caractéristiques individuelles de la race (il a été constaté que le problème est plus souvent diagnostiqué chez les grandes et très grandes races) ;
- caractéristiques de la structure du thorax (si le rapport profondeur/largeur dépasse 1,4) ;
- affaiblissement des ligaments qui maintiennent l'estomac dans la bonne position ;
- une alimentation inadéquate (aliments de mauvaise qualité qui provoquent ballonnements);
- suralimentation (survient souvent lors d'un seul repas) ;
- avaler des objets non comestibles qui peuvent s'accumuler dans l'estomac de l'animal ;
- activité physique intense immédiatement après le repas ;
- état stressant;
- prédisposition génétique.
Symptômes
Nous allons maintenant examiner en détail les symptômes externes de la torsion gastrique chez le chien.
L'accumulation de gaz entraîne une dilatation de l'estomac. L'étape suivante est son déplacement et sa torsion, ce qui conduit à :
- déplacement de la rate ;
- compression des nerfs et des vaisseaux vitaux ;
- perturbation de l'innervation et de la circulation sanguine dans tout le corps.
La stagnation du sang entraîne une insuffisance respiratoire, une augmentation de la quantité de toxines, une perturbation de la fonction cardiaque, un choc et la mort.

Pour des raisons encore inconnues, le volvulus gastrique survient le plus souvent la nuit. Chez le chien, il se caractérise par les symptômes suivants :
- augmentation du volume de la paroi abdominale ;
- douleur à la palpation;
- anxiété;
- augmentation de la salivation ;
- vomir;
- état de choc (respiration rapide, gencives pâles) ;
- perte de conscience.
La première chose que le propriétaire doit faire, même si les symptômes sont vagues, est d'administrer du No-shpa ou de l'analgin et d'emmener immédiatement l'animal à la clinique.
Diagnostic
Seul un vétérinaire peut établir un diagnostic précis. Pour confirmer la suspicion de torsion gastrique, il aura besoin de :
- examen de l'animal ;
- le propriétaire doit fournir la description la plus complète possible des symptômes, y compris des informations sur ce que le chien a mangé, quand et en quelle quantité ;
- Examen radiographique ou échographie ;
- laparoscopie (insertion d'une sonde gastrique).

Le plus souvent, les trois premiers points suffisent au médecin pour établir un diagnostic le plus rapidement possible et décider de la nécessité d'une intervention chirurgicale.
Important ! Le traitement de la torsion gastrique chez le chien nécessite une intervention chirurgicale au cours de laquelle le vétérinaire remet manuellement l'organe en place et le fixe.
Des symptômes aigus semblables à un volvulus gastrique peuvent également être causés par dilatation gastriqueCausée par une accumulation de gaz, la pose d'une sonde gastrique est alors indiquée. L'état de l'animal s'améliore généralement après une laparoscopie. Cependant, en cas de torsion gastrique, les gaz s'accumuleront et tous les symptômes réapparaîtront en quelques heures.
Parfois, une radiographie ou une échographie ne permettent pas d'obtenir une image claire (ou il est impossible de réaliser ces examens). Dans ce cas, une intervention chirurgicale immédiate est recommandée.
Traitement (chirurgie)
Bien que la torsion gastrique soit une affection grave et potentiellement mortelle, l'intervention chirurgicale elle-même est relativement simple pour un vétérinaire. L'opération se déroule sous anesthésie générale et comprend :
- pratiquer une petite incision latérale ;
- correction de la position de l'estomac ;
- vérifier la présence de corps étrangers et les retirer (le cas échéant) ;
- fixation de l'estomac à l'arcade costale droite (pour prévenir un volvulus ultérieur) ;
- vider et rincer l'estomac à l'aide d'un tube ;
- traitement de la cavité abdominale avec un antiseptique et examen pour détecter un saignement ;
- finition (l'incision est suturée et traitée).
Si nécessaire, une ponction du péritoine est pratiquée avant l'intervention afin d'évacuer l'air et de soulager la pression exercée sur la paroi de l'estomac. Il arrive parfois, en raison d'une irrigation sanguine insuffisante prolongée, qu'une partie de la paroi de l'estomac (et parfois la rate) se nécrose. Dans ce cas, la portion nécrosée est retirée.
soins postopératoires
La surveillance postopératoire des chiens atteints de torsion gastrique est réalisée conformément aux recommandations générales en matière de soins postopératoires. Des examens de laboratoire et une échographie permettent de détecter tout dysfonctionnement gastrique et de le traiter ou de le corriger.
Important ! La gravité de l'évolution postopératoire de la maladie dépendra de la gravité de la pathologie traitée, de la présence de complications et de comorbidités, et de l'âge de l'animal.

Il est reconnu que les chiots et les jeunes chiens en bonne santé récupèrent et guérissent plus vite que les animaux plus âgés. L'état d'un chien peut se stabiliser et revenir à la normale dans les 24 heures suivant l'intervention chirurgicale. Dans les cas les plus graves, cela peut prendre jusqu'à 4 ou 5 jours. En général, un animal reste hospitalisé pendant 2 à 3 jours.
Recommandations en période postopératoire :
- surveillance constante de l'état du chien ;
- régime de jeûne (1 à 2 jours) ;
- traitement quotidien de la couture ;
- port constant d'un bandage stérile ;
- prise de médicaments antibactériens et antiémétiques.
Si des sutures non résorbables ont été utilisées lors de l'intervention, vous devrez vous rendre à la clinique deux semaines plus tard pour faire retirer les points de suture.
Prévention
Le respect de ces règles simples contribuera à prévenir l'apparition d'une affection aussi dangereuse que la torsion gastrique chez le chien :
- Prenez l'habitude de nourrir votre animal régulièrement deux fois par jour ;
- utiliser uniquement des aliments équilibrés de haute qualité ;
- ne pas dépasser la norme spécifique à la race pour un repas ;
- Limitez l'activité physique de votre chien après les repas ;
- Ne pas nourrir l'animal avant le transport.
Les chiens qui souffrent fréquemment de ballonnements gastriques (prédisposés à développer des ballonnements) subissent parfois une intervention chirurgicale à titre préventif.
Cette intervention, appelée gastropexie, consiste à fixer l'estomac pour l'empêcher de se tordre. Elle est beaucoup plus facile à tolérer pour les animaux et élimine un certain nombre de complications graves pouvant survenir en cas de torsion gastrique.
N'oubliez pas que l'issue de toute maladie dépend toujours d'un diagnostic correct et d'un traitement administré à temps.
Nous vous suggérons également de visionner un webinaire professionnel de grande envergure sur le sujet :
Des questions ? Vous pouvez les poser au vétérinaire de notre site web dans les commentaires ci-dessous ; il y répondra dans les plus brefs délais.
Lire aussi :
2 commentaires
Julia
Bonjour. Notre chienne de garde de Moscou a été opérée il y a environ six semaines. Actuellement, elle vomit après les repas, des aliments non digérés avec beaucoup de mousse blanche. Cela se produit généralement tard le soir après son dernier repas. Nous lui donnons du De-Nol 30 minutes avant les repas, deux fois par jour. Aujourd'hui, nous lui avons donné du Phosphalugel avant les repas. Cela n'a rien changé. Pourriez-vous nous conseiller sur la marche à suivre ? Merci d'avance.
Dasha est vétérinaire
Bonjour ! Avez-vous consulté votre vétérinaire ? Votre chien a-t-il été examiné ? Le suralimentez-vous ? Après une telle maladie, il est important de le nourrir avec précaution jusqu'à sa guérison. Avez-vous écarté une gastrite ? Le vétérinaire a-t-il prescrit quelque chose après l'opération ? Tisane de camomille, Almagel, Emprobio, Nux vomica ou autres probiotiques/prébiotiques. Veracol peut également être administré par injection. Cerucal peut être prescrit en cas de vomissements (en l'absence de diarrhée ou d'autres modifications des selles). Cependant, tout cela ne doit être entrepris qu'après une consultation chez votre vétérinaire et des examens complémentaires, notamment une gastroscopie et une échographie, afin d'exclure toute complication.
Ajouter un commentaire