Fractures des pattes avant et arrière chez le chien : symptômes et traitement
Une fracture de la patte avant ou arrière chez un chien est une blessure très grave, caractérisée par une douleur intense et une altération de la motricité. Les propriétaires d'animaux doivent connaître les symptômes associés à cette affection et savoir comment réagir.

Contenu
Types de fractures
Les vétérinaires distinguent plusieurs types de fractures, chacune présentant ses propres caractéristiques. Pour en savoir plus :
- Une fissure. C'est la forme la plus bénigne, souvent asymptomatique. Elle peut être confondue avec une contusion. Parfois, une démarche hésitante ou une légère boiterie peuvent être des signes d'alerte. Cependant, l'animal reste actif. Seul un examen radiographique permet de diagnostiquer cette affection.
- Fracture par impaction. Ce type de fracture survient principalement chez les chiots et les chiens de grande race. Elle ne s'accompagne pas de lésions importantes des tissus internes et le tableau clinique est peu clair. Les fragments osseux sont imbriqués les uns dans les autres. En l'absence de traitement rapide, ils peuvent se déplacer.
- Fermeture sans déplacement. Les os endommagés restent en place. Douleur et altération de la fonction motrice importantes.
- Fermeture avec déplacement. Les os sont non seulement endommagés, mais leur position anatomique est également modifiée. Il existe un risque de lésion des organes et des vaisseaux importants.
- Plaie ouverte. Blessure grave avec atteinte des os, des tissus internes et des articulations. Rupture possible des vaisseaux sanguins.
Symptômes
Naturellement, les propriétaires se demandent comment identifier une patte cassée chez leur chien. Plusieurs symptômes sont caractéristiques de ce type de blessure. En voici une liste :
- Enflure importante au niveau de la blessure.
- Présence d'un hématome.
- Augmentation de la taille, asymétrie du membre blessé.
- Sensations douloureuses à la palpation.
- L'animal est incapable de s'appuyer sur sa patte blessée. Le chien tente de la maintenir en suspension.
- Lors du déménagement boiterie, peut se déplacer sur trois membres.
- Mobilité anormale de la patte affectée.

En cas de fracture ouverte, le tableau clinique est plus clair. Un fragment osseux peut être nettement visible à travers la peau lésée. Dans certains cas (si des vaisseaux sanguins sont atteints), un saignement est présent.
Les chiens présentent souvent d'autres symptômes liés à leur état de santé général. Ceux-ci incluent :
- comportement agité;
- léthargie;
- température corporelle élevée ;
- manque d'appétit.
En cas de douleur intense, un choc douloureux peut se développer.
PREMIERS SECOURS
Si une blessure est constatée chez un animal de compagnie, son propriétaire doit immédiatement contacter une clinique vétérinaire pour des soins spécialisés. Plus tôt cela se produit, mieux c'est.
Le respect des consignes à suivre à la maison est essentiel pour éviter de blesser l'animal. En cas de fracture ouverte, la priorité absolue est d'arrêter le saignement. Pour ce faire, appliquez un garrot improvisé avec les matériaux disponibles au-dessus de la plaie et serrez-le fermement. Ensuite, nettoyez la surface de la plaie de tout débris et saleté et désinfectez-la avec une solution antiseptique (eau oxygénée, miramistin). N'utilisez ni alcool ni produits contenant de l'alcool. Enfin, appliquez un pansement sur la plaie pour prévenir toute infection.
L’auto-repositionnement des fragments osseux est strictement interdit ! C’est extrêmement douloureux et cela comporte un risque élevé de rupture vasculaire.Le chien nécessite un repos complet et l'immobilisation de sa patte. Celle-ci est fixée à un support facilement accessible (contreplaqué, planche de bois ou carton épais) à l'aide d'un bandana ou d'une ceinture. Lors du transport de l'animal à la clinique, il doit être placé sur la banquette arrière. S'il s'agit d'une race miniature, une cage de transport fera l'affaire. Dans des cas extrêmes, il est possible de porter l'animal dans ses bras.

Traitement
Le traitement d'une fracture de la patte chez un chien est déterminé par le vétérinaire en fonction de la gravité de la blessure. Des examens diagnostiques sont réalisés en premier lieu. Après l'administration d'analgésiques et de myorelaxants, le vétérinaire examine l'animal et prescrit des radiographies. Celles-ci peuvent être réalisées sous différents angles. En cas de suspicion de lésion interne, une échographie ou une IRM est recommandée.
Conservateur
Les traitements conservateurs sont rarement utilisés. Le vétérinaire repositionne les fragments osseux déplacés, puis immobilise la patte. Pour immobiliser l'os endommagé, il utilise un plâtre spécial qui limite les mouvements de la patte. Ce plâtre peut être retiré après 1 à 1,5 mois. Chez les petites races, cette période est plus courte (environ 20 jours) ; chez les chiens plus âgés, elle peut être plus longue (jusqu'à 50 ou 60 jours). Durant toute cette période, une surveillance attentive est nécessaire afin de s'assurer que l'attelle ne comprime pas les tissus mous. Dans le cas contraire, il existe un risque de complications telles que la compression des vaisseaux sanguins.

Opérationnel
La plupart des fractures des membres chez le chien (environ 90 %) nécessitent une intervention chirurgicale. L'ostéosynthèse (fusion osseuse) est réalisée à l'aide de broches, d'agrafes, de vis et de plaques. Ces dernières années, grâce aux progrès technologiques, les vétérinaires utilisent désormais des dispositifs en polymère, en plus des dispositifs métalliques.
Les structures de haute qualité peuvent supporter des charges similaires à celles des membres sains. Une fois que les os ont physiologiquement retrouvé leur état initial, les tissus nécrosés sont retirés.
Plusieurs méthodes de traitement sont utilisées en chirurgie. Apprenez-en davantage :
- L'appareil de Kishner. Une structure composée d'une tige métallique et de tiges autotaraudeuses est utilisée pour les fractures intra-articulaires.
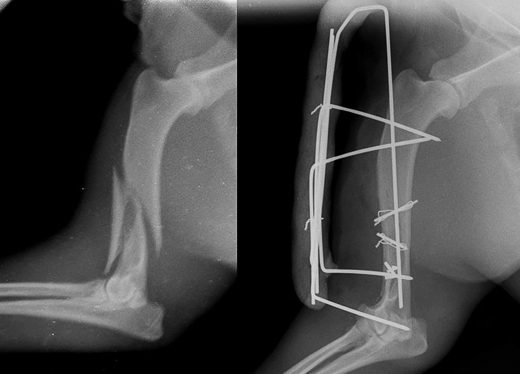
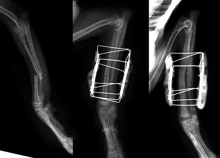
- L'appareil d'Ilizarov se compose de broches et d'anneaux métalliques qui maintiennent fermement en place les fragments d'os.
- Fixation interne. Intervention la plus complexe. Le chirurgien doit posséder les qualifications et l'expérience nécessaires pour la réaliser efficacement. Des broches sont insérées directement dans les os longs. Elles ne sont pas retirées et restent en place à vie.
Toutes les interventions chirurgicales sont pratiquées sous anesthésie générale. L'anesthésie par inhalation est l'option optimale. Les vétérinaires affirment qu'elle permet aux animaux de mieux supporter l'opération et de récupérer plus rapidement.
soins postopératoires
Après l'ostéosynthèse, un traitement antibiotique de dix jours est prescrit à titre préventif. Les sutures sont nettoyées quotidiennement. Si le chien a besoin d'antalgiques, de l'analginate peut lui être administré. La posologie est adaptée au poids de l'animal. Dans certains cas, des vitamines et des immunomodulateurs peuvent être utiles.
Pour favoriser une bonne consolidation de la fracture, le propriétaire doit veiller à ce que le chien soit le plus détendu possible. Si l'animal tente de lécher la zone blessée, il convient de lui mettre une collerette. La physiothérapie (comme l'irradiation ultraviolette ou la thérapie par ondes de choc) peut contribuer à accélérer la régénération des tissus.
Un mois après l'intervention, une radiographie de contrôle est réalisée pour évaluer l'efficacité de l'intervention et s'assurer que l'os se consolide correctement.
Temps de guérison
Le pronostic est généralement favorable. En moyenne, un cal osseux se forme en quelques semaines. Les fragments osseux se soudent au bout d'une quarantaine de jours. Une fois le cal formé, le chien reprend progressivement appui sur le membre blessé. La durée de la convalescence peut varier, bien sûr, en fonction de l'âge de l'animal, de la gravité de la blessure et d'autres facteurs. Par exemple, les petites races et les races naines récupèrent plus lentement. Pendant environ six mois après la blessure, il est conseillé d'éviter de faire reposer le chien sur ses pattes et de lui faire faire des sauts brusques.
Si une fracture à une patte avant ou arrière d'un chien est soignée correctement et rapidement, les os se consolideront vite et sans séquelles. En deux à quatre mois environ, votre animal retrouvera la forme et toute son énergie.
Lire aussi :
- Les pattes du chien se déforment et se désagrègent : traitement
- Les pattes arrière de mon chien sont défaillantes : causes et solutions
- Les meilleurs chondroprotecteurs pour chiens



Ajouter un commentaire