Collapsus trachéal chez le chien : symptômes et traitement
Les chiens sont prédisposés à certaines maladies en raison de leurs caractéristiques anatomiques propres à chaque race. Les chiens de constitution athlétique et à forte ossature sont sujets aux affections orthopédiques, comme la dysplasie de la hanche. Les chiens miniatures souffrent fréquemment d'un rétrécissement de la trachée, appelé collapsus trachéal. Parmi les races à risque, on retrouve le pékinois, le carlin, le shih tzus, le caniche, le poméranien, le yorkshire terrier, le toy terrier et le chihuahua. Le tableau clinique du collapsus trachéal chez le chien apparaît généralement à l'âge mûr.

Contenu
Le mécanisme du développement du collapsus trachéal
La trachée, ou conduit respiratoire, est un tube cartilagineux reliant le larynx aux bronches. Les demi-cercles cartilagineux du côté spinal sont ouverts ; à ce niveau, des ligaments souples, appelés membrane trachéale, font partie intégrante de la trachée. En s'étirant, ils facilitent le passage des aliments dans l'œsophage adjacent.
Si la partie cartilagineuse de la trachée (les anneaux trachéaux) perd de sa rigidité et s'affaisse, la lumière du tube se déforme. Cela peut suffire à obstruer le flux d'air et à perturber la respiration. Ce phénomène est appelé sténose ou rétrécissement, et l'affection est communément désignée sous le terme de collapsus trachéal.
Selon la partie de la trachée déformée, le rétrécissement peut se manifester à différentes phases de la respiration. Lorsque la partie inférieure (thoracique) de la trachée s'affaisse, la membrane s'affaisse et obstrue la lumière de la trachée lors de l'expiration. Lorsque la partie supérieure (cervicale) s'affaisse, la membrane s'affaisse et rétrécit la lumière de la trachée lors de l'inspiration.
Causes du développement de la pathologie
Certaines races naines et brachycéphales naissent avec des anneaux trachéaux légèrement rétrécis, ce qui les prédispose à développer cette affection. De nombreux chiens de petite race sont très sensibles et s'affolent facilement ; le stress peut donc aisément déclencher un collapsus trachéal. Les toiletteurs savent que ce type d'accident est fréquent chez les chiens lors du toilettage et s'efforcent donc d'offrir à leurs clients un environnement calme et la présence de leur maître.

Le collapsus trachéal chez le chien peut également être causé par :
- malformation congénitale du cartilage trachéal ;
- maladies chroniques des voies respiratoires supérieures;
- maladies respiratoires aiguës;
- séjour prolongé dans des chambres enfumées, polluées par les gaz ou poussiéreuses ;
- obésité;
- cardiomégalie (augmentation du volume du cœur).
Symptômes
L'affaissement trachéal étant la conséquence d'une réduction du flux d'air due à l'affaissement des anneaux cartilagineux de l'organe, le tableau clinique de la maladie comprend principalement des manifestations associées aux voies respiratoires.
Le chien devient agité, se met à tousser et a du mal à respirer : sa respiration devient rapide, rauque ou sifflante. On peut observer une dyspnée et une coloration bleutée des muqueuses. Des vomissements peuvent survenir en raison de l’accumulation importante de mucus dans la gorge. Une toux persistante et douloureuse provoque une inflammation et un gonflement des muqueuses, et les fonctions de la trachée (élimination, humidification et transport de l’air) sont altérées.
Un collapsus trachéal sévère peut provoquer l'étouffement d'un chien, parfois si grave que sans intervention immédiate, l'animal peut perdre conscience ou même mourir d'asphyxie.
Important à savoir ! Le collapsus trachéal reste souvent asymptomatique pendant longtemps, sans manifestations cliniques, jusqu’à l’apparition d’un facteur déclenchant : maladie, stress, prise de poids excessive, etc. Ceci est particulièrement vrai pour les chiens atteints de sténose trachéale congénitale.

Diagnostic
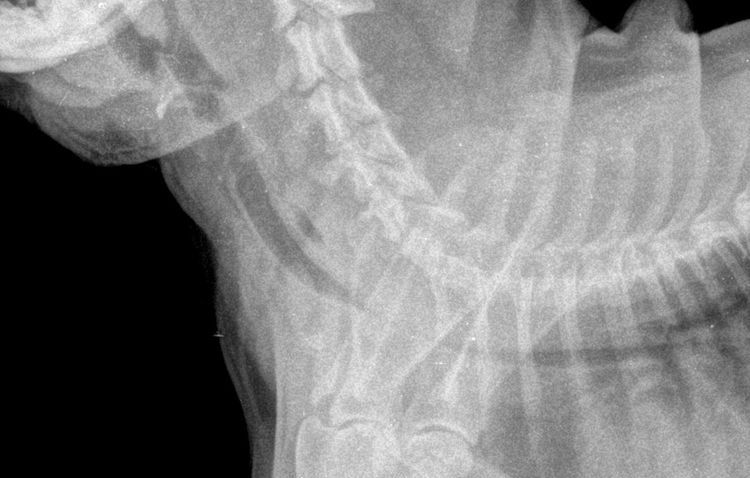
Le diagnostic objectif du collapsus trachéal chez le chien repose sur la radiographie. Si nécessaire, le vétérinaire peut prescrire une trachéoscopie ou une bronchoscopie. Ces interventions sont réalisées sous anesthésie à l'aide d'un dispositif spécial – un endoscope – équipé d'une source lumineuse et d'une caméra photo ou vidéo, qui est inséré dans la trachée pour examiner sa surface interne.
Les résultats des examens instrumentaux permettent de déterminer avec précision les zones de déformation de la trachée et l'importance de la variation du diamètre de sa lumière. Selon le degré d'affaissement de l'anneau trachéal et de rétrécissement de la lumière, on distingue plusieurs stades de sténose :
- Stade 1 - pas plus de 25 % de la lumière est obstruée (une telle sténose est considérée comme compensée et ne nécessite pas toujours de traitement) ;
- Étape 2 - la lumière de la trachée est rétrécie de 50 % ;
- Stade 3 - 75 % de la lumière est bloquée par une membrane affaissée ;
- Stade 4 - la trachée est complètement fermée.

Traitement
Si la maladie est détectée aux stades 1 et 2, un traitement conservateur visant à atténuer les signes cliniques est généralement suffisant. Selon les statistiques nationales et internationales, un traitement médicamenteux pour les stades précoces du collapsus trachéal chez le chien est efficace dans 70 à 75 % des cas. Pendant le traitement, l'activité physique de l'animal est réduite au minimum. Les vétérinaires recommandent de remplacer le collier rigide par un harnais souple et fin pour les chiens sujets aux spasmes respiratoires afin de minimiser la pression sur la gorge.
Le traitement de la sténose trachéale comprend généralement :
- Corticostéroïdes (Dexafort(Hydrocortisone, Cortisone, Kela Dexa Kel, Corticostérone). Elles réduisent la production de sécrétions muqueuses (mucus).
- Les bronchodilatateurs (sulfate d'atropine, euphylline, salbutamol, doxazosine, béclométhasone) diminuent le tonus des muscles lisses bronchiques, éliminent les spasmes bronchiques et atténuent ainsi les manifestations cliniques du syndrome de broncho-obstruction.
- Les tranquillisants (buspirone, amitriptyline, clomipramine, fluoxétine) sont des médicaments psychotropes utilisés pour soulager l'agitation qui provoque toux et difficultés respiratoires.

Dans les cas graves, lorsqu'un chien développe un syndrome de détresse respiratoire aiguë (l'animal suffoque, ses muqueuses deviennent bleuâtres), une oxygénothérapie est prescrite.
Aux stades 3 et 4 du collapsus trachéal, un traitement chirurgical, la pose d'une endoprothèse trachéale, est souvent nécessaire. L'intervention consiste à insérer un implant, un tube auto-expansible, dans la trachée, servant de support anatomique. Cet implant assure un flux d'air normal à travers la partie déformée de la trachée. La pose de l'endoprothèse est réalisée sous anesthésie générale et contrôle endoscopique.
Lire aussi :
- Que faire si votre chien s'étouffe ?
- Écoulement nasal chez le chien : causes et traitement
- Pneumonie chez le chien : symptômes et traitement
Ajouter un commentaire