Dysplasie de la hanche chez les chats
Le terme « dysplasie » désigne généralement une anomalie anatomique de la structure des tissus. Chez le chat, la dysplasie de la hanche est une affection assez courante qui entraîne des douleurs, des troubles de la mobilité et, à terme, une malformation de l'articulation. Cette affection peut causer une gêne importante et une baisse de la qualité de vie de votre chat ; il est donc essentiel d'en comprendre les symptômes et les causes.

Contenu
Qu'est-ce que le DTS ?
La dysplasie de la hanche survient lorsque les os sont mal alignés. Normalement, la cavité glénoïde enveloppe étroitement la tête du fémur, et les muscles de la hanche et du bassin maintiennent l'articulation en place et assurent son bon fonctionnement. En cas de dysplasie de la hanche, la tête du fémur est mal alignée avec l'acétabulum, ce qui rend l'articulation insuffisamment soutenue lors des mouvements et entraîne, à terme, une usure et une dégénérescence.
Causes du syndrome dysplasique chez le chat
L'un des principaux facteurs pouvant causer une dysplasie articulaire (genou, coude ou hanche) chez le chat est une prédisposition génétique, le gène responsable de la maladie se transmettant sur dix générations. La dysplasie est plus fréquente chez les chats de race pure, tels que les Maine Coons, les Munchkins, les Ragdolls, les Scottish Folds, les British Shorthairs, les Abyssins, les Persans, les Siamois et les Burmeses.
Les jeunes chats sont plus susceptibles de contracter cette maladie. La dysplasie de la hanche chez les chatons apparaît généralement dans les premiers mois suivant la naissance et est plus fréquente chez les femelles que chez les mâles. Les chattes stérilisées sont également à risque, car elles sont moins actives physiquement.
Il est fort probable que le développement de cette pathologie soit dû à la composition du liquide synovial, et plus précisément à une concentration insuffisante d'acide hyaluronique, entraînant une perte de glissement entre les composants articulaires. Un excès de poids, qui accroît la pression exercée sur l'articulation, ou un traumatisme ayant provoqué des lésions peuvent également contribuer à l'apparition de l'arthrose.

L'une des principales causes de dysplasie de la hanche chez le chat est une mauvaise alimentation. Un excès de phosphore dans l'alimentation entraîne la production de phytates, qui perturbent l'absorption du calcium. La dysplasie peut également être causée par une carence en vitamine D, qui se traduit souvent par une faiblesse musculaire et une ostéomalacie (diminution de la densité osseuse).
Signes cliniques du diabète
Les symptômes de la dysplasie chez le chat peuvent inclure :
- démarche instable ou boiteuse ;
- un craquement ou un cliquetis lors de la flexion d'une articulation ;
- difficulté à monter et descendre les escaliers, à sauter ou à courir ;
- En raison de la douleur et de l'hypermobilité de l'articulation, le chat peut se lever lentement et maladroitement d'une position assise ou couchée ;
- Pour limiter les mouvements de l'articulation touchée, le chat remue son arrière-train en marchant ;
- En position assise, l'animal étend ses pattes arrière vers l'avant ;
- Un animal malade évite les mouvements inutiles, ce qui entraîne un affaiblissement des muscles (c'est ce qu'on appelle le cercle vicieux, qui contribue à l'aggravation de la pathologie).

Diagnostic
Si vous soupçonnez votre chat de souffrir de dysplasie de la hanche, il est important de consulter rapidement un vétérinaire. Ce dernier procédera à un examen et pourra prescrire des tests complémentaires afin d'établir un diagnostic précis. Dans certains cas, une consultation avec un chirurgien orthopédiste peut s'avérer nécessaire.
Lors de l'établissement d'un diagnostic, il est important de différencier la dysplasie d'autres pathologies présentant des symptômes similaires : myélopathie dégénérative (une maladie neurologique entraînant la paralysie des membres), syndrome de l'articulation sacro-iliaque (instabilité de la colonne vertébrale), ostéomyélite ou polyarthropathie (maladies osseuses inflammatoires).
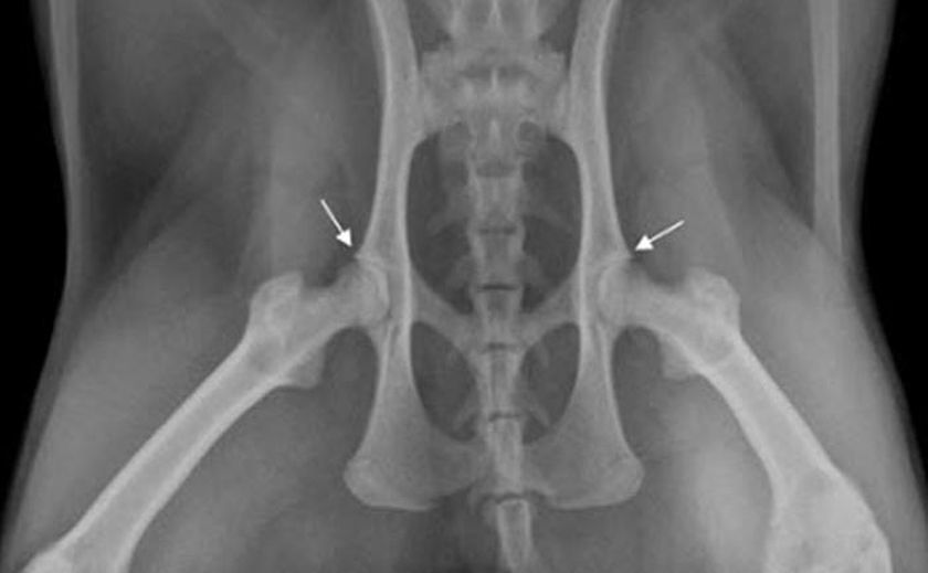
La principale méthode de diagnostic de la dysplasie de la hanche chez les animaux est la radiographie. Cet examen est généralement réalisé sous sédation afin d'assurer un bon alignement articulaire. En cas de dysplasie de la hanche, les radiographies révèlent un défaut d'alignement de la tête fémorale et de l'acétabulum. Au stade dégénératif, on observe une déformation des surfaces osseuses et une croissance anormale (fibrose) des tissus environnants.

La tomodensitométrie est considérée comme encore plus informative que la radiographie, car elle permet de visualiser tous les détails et l'étendue des lésions articulaires, ainsi que les pathologies associées qui ne sont pas visibles sur une radiographie.
Traitement
Le traitement de l'arthrose peut comprendre des médicaments, de la physiothérapie et des exercices réguliers pour renforcer les muscles autour des articulations. Si la fonction articulaire est fortement altérée, une intervention chirurgicale peut être nécessaire.
Traitement thérapeutique
Le traitement conservateur du syndrome de dysfonctionnement du tube neural (DTS) vise à réduire la douleur et à améliorer la qualité de vie du chat.

Voici quelques-unes des principales méthodes de traitement :
- Traitement médicamenteux. En cas de dysplasie, les médecins peuvent prescrire des anti-inflammatoires et analgésiques, tels que les anti-inflammatoires non stéroïdiens (AINS) comme le méloxicam, OnsiorPrevicox, Metacam. Des sédatifs à effet analgésique, tels que l'amitriptyline, Petvital Arthro et la gabapentine, sont également utilisés. Ils peuvent être pris à domicile.
- La physiothérapie. Elle contribue à améliorer la mobilité articulaire, à renforcer les muscles environnants et à réduire la douleur ; elle est particulièrement efficace pour la dysplasie de la hanche chez les chatons.
Méthodes physiothérapeutiques :
- kinésithérapie (exercices de renforcement musculaire),
- massage, thérapie manuelle,
- hydrothérapie (traitement par l'eau),
- thérapie laser,
- thermothérapie,
- stimulation électrique,
- Thérapie par ondes de choc.
L'alimentation et la gestion du poids sont également cruciales. Un excès de poids exerce une pression supplémentaire sur les articulations de la hanche et aggrave l'état de l'animal.

Il est donc important que les chats atteints de dysplasie génitale suivent un régime alimentaire adapté : leur alimentation doit être riche en protéines et pauvre en glucides. Cela permettra à votre animal de recevoir les nutriments nécessaires sans prendre de poids. Les vétérinaires recommandent les aliments ROYAL CANIN Neutered Young Male ou Neutered Young, à faible teneur en calories.
traitement chirurgical
Dans certains cas, notamment en cas de dysplasie sévère ou de complications, une intervention chirurgicale peut s'avérer nécessaire. Le traitement chirurgical de la dysplasie chez le chat est une procédure complexe qui requiert un équipement spécialisé ainsi que l'expérience et l'expertise d'un chirurgien vétérinaire. Avant d'opter pour une intervention chirurgicale, il est important de consulter un vétérinaire afin d'évaluer tous les risques et les bénéfices potentiels pour votre chat.

Les options chirurgicales varient selon la gravité et les caractéristiques de la dysplasie de la hanche et peuvent inclure une reconstruction ou un remplacement articulaire. Les principaux traitements chirurgicaux de la dysplasie de la hanche chez le chat sont les suivants :
- Chirurgie reconstructive. Dans les cas de dysplasie de la hanche légère à modérée, les médecins peuvent recommander une greffe de péroné pour améliorer la fonction articulaire. Cette intervention consiste à utiliser le tibia pour renforcer l'articulation de la hanche.
- Chirurgie orthopédique. Cette intervention peut être recommandée en cas de dysplasie sévère de la hanche, lorsque les lésions articulaires sont importantes et compromettent la qualité de vie du chat. La correction axiale est une méthode orthopédique courante. Durant l'intervention, un matériel spécialisé est inséré dans la zone opérée afin de repositionner l'articulation et d'améliorer sa fonctionnalité.
- Prothèse totale de hanche. En cas de dysplasie congénitale, lorsque la dysplasie de la hanche d'un chaton est sévère ou ne répond pas aux autres traitements, il peut être nécessaire de remplacer l'articulation de la hanche atteinte par une prothèse. Cette intervention améliore la fonction musculo-squelettique et élimine complètement la douleur.
Les chats ayant subi un traitement chirurgical pour une dysplasie font l'objet d'une surveillance radiographique périodique de la stabilité articulaire afin de prévenir toute récidive ou complication.
Lire aussi :
Ajouter un commentaire